みなさま、こんにちは!
矯正歯科クリニック柏の葉 受付の鈴木です☺
マウスピース矯正を始めて約9ヶ月が経ちました👏✨
先日、ボタンを付けて、ゴムかけ がスタートしました!!

ゴムには歯を動かすのを助ける働きがあります。
(※ゴムかけは患者様によって異なります)
また変化を見るのが楽しみです★
口腔内写真も撮ったので、比べてみました📷✨
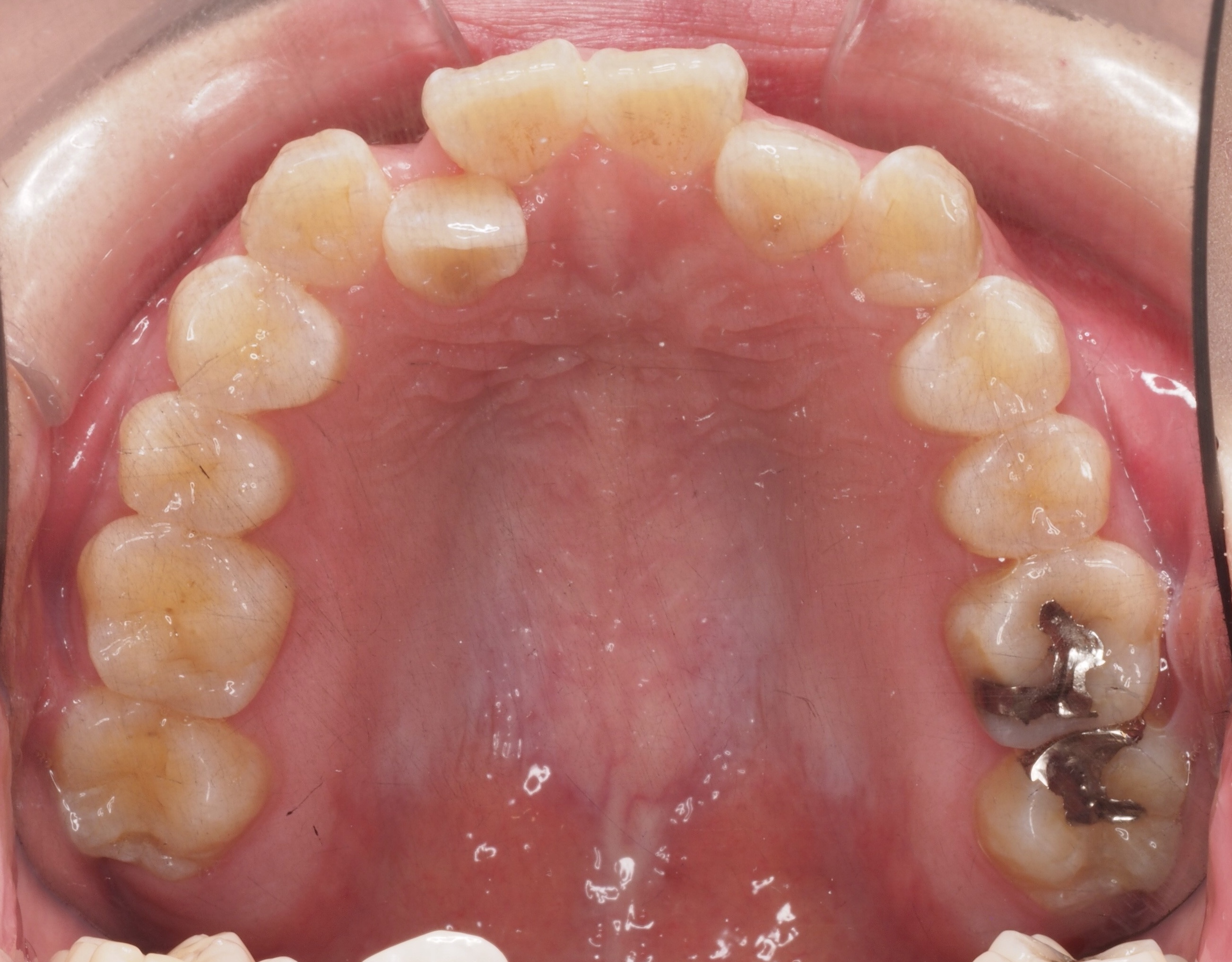
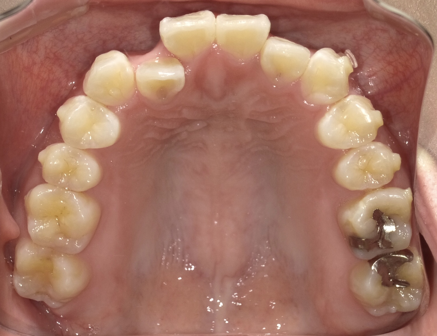
矯正スタート時(上顎)撮影:2018.07↓ 矯正9ヶ月経過(上顎)撮影:2019.04↓


上顎はまだまだ時間がかかりそうです…😢
前歯の隣の歯(2番)は左右どちらも少しですが前に出てきた気がします!
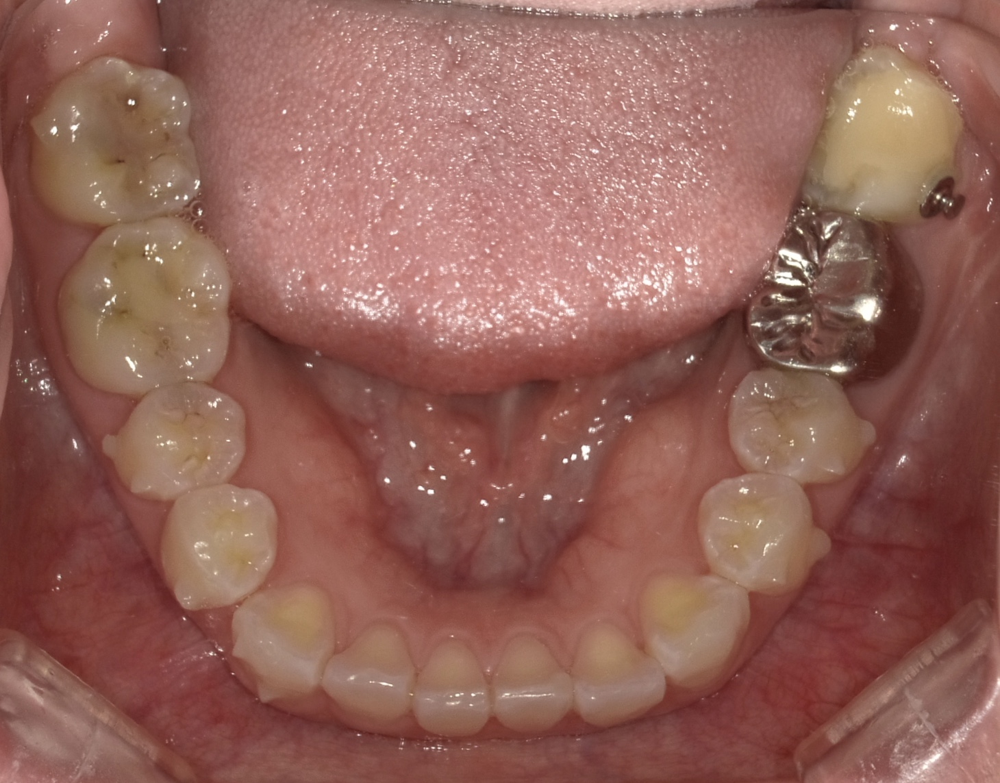
矯正スタート時(下顎)撮影:2018.07↓ 矯正7ヶ月経過(下顎)撮影:2019.04↓


下顎はきれいに並んできたと思います😁
こうやって比較して変化があると嬉しいですし、
モチベーションも上がりますよね\(^o^)/✨
また経過を更新していきますので、
見に来ていただけると嬉しいです♥