みなさま、こんにちは!
今日はマウスピース矯正のアタッチメントについてお話したいと思います!
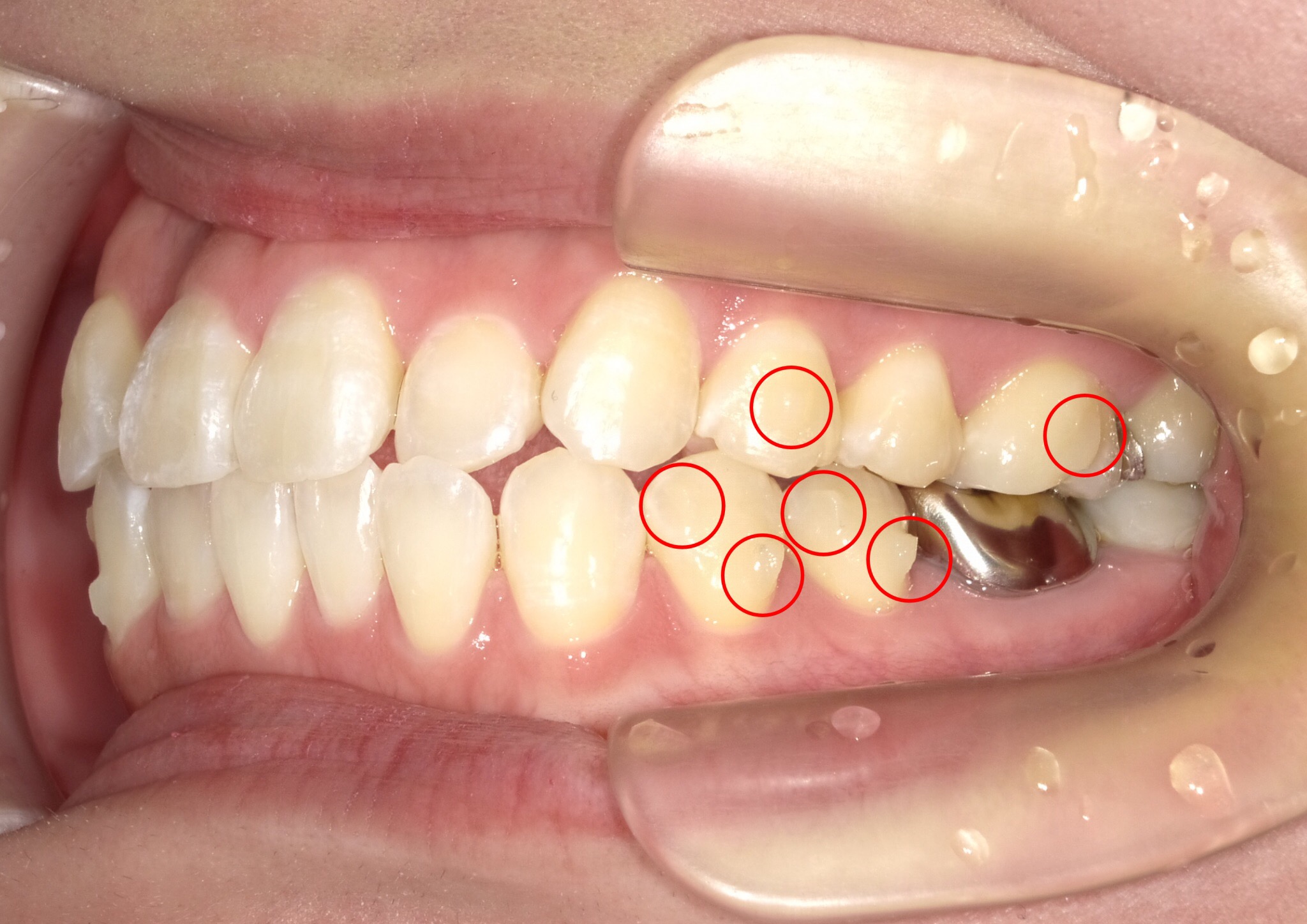
アタッチメントとは…?
透明に近い、あるいは歯と同系色の『突起』のことをいいます。
治療計画の際に歯をどのように動かしていくかを決めますが、
その動かし方によって、アタッチメントの形状・数・設置場所を決めていきます。
ですので、患者様によって異なります。


↑写真でもあまり分からないくらいなので、目立ちません。
アタッチメント自体は、歯の表面につくので、舌で触った際に少し違和感がありますが、
普段はマウスピースが被さるので、それほど気にはならなくなります。
↓マウスピースにはアタッチメントが収まるようにふくらみがあります。

アタッチメントの役割は…?
アタッチメントがあることで、歯にかかる力を細かく調整することができます。
設置すると効果的に歯を動かしていくことが出来るので、マウスピースの矯正能力を
強めてくれる大切な要素になります。
アタッチメントは追加アライナーを発注する時、
もしくは、治療終了時にすべて撤去します。
上記以外にも気になる事がございましたら、
お気軽にお問合せください。