みなさま、こんにちは!
矯正歯科クリニック柏の葉 受付の鈴木です☺
7月からマウスピース矯正を始めて、約4か月が経ちました!
今は17枚目のマウスピースに突入しました~\(^o^)/✨
さて、今日はアタッチメントについてお話したいと思います★
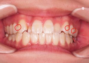
アタッチメントとは…
透明に近い、あるいは歯と同系色の小さな『突起』のことをいいます。
一部の歯の移動には、この技術のサポートが必要になります。
アタッチメントは、歯の外側に直接つきます。
舌で触るとデコボコしているのがわかりますが、
とても小さいので、気にならない程度です!

赤い丸で囲んであるものがアタッチメントです。
※患者様ごとにマウスピースの枚数、形、アタッチメントをつける位置、数は異なります。
歯に限りなく近い色をしているので、写真で見てもほとんど分かりません(゚д゚)!
マウスピースにはアタッチメントが
おさまるように膨らみがあります。↓

アタッチメントをつけてマウスピースを装着すると、アタッチメントのひっかかりで
以前よりも外す時に少し時間がかかりましたが、毎日続けているとすぐに慣れました!
マウスピースは基本的に食事と歯磨きの時以外はずっと装着しているので、
最初は違和感がありましたが、今ではすっかり慣れてしまいました!✨
慣れってすごいですね!(笑)
まだまだ先は長いですが、変化を楽しみながら頑張ります♪
また、治療のことや、歯の変化など更新していきますので、
よかったらまた覗きにきてくださいね♥